top of page

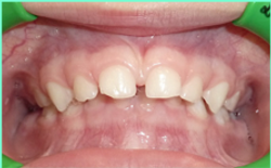
MORDIDA PROFUNDA E DISTOCLUSÃO

(11) 98713 7973 ou (11) 5542 2763

R. Morais de Barros, 1019. Campo Belo – São Paulo/SP

  • Instagram - White Circle

©  2020 por MidX

ID Logotipo MidX_sem fundo.png
invisalign-branco.png
bottom of page